


Radiovizioqrafiya, ortopantomoqramma v.s.
Ankara Universiteti 3 illik "Oral Diagnoz ve Radyoloji" tədris proqramı əsasında.






Daimi, süt və retensiyalı diş və köklərin çəkilməsi; abses, fleqmonaların və periostitin müalicəsi v.s.

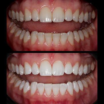
Gingivit, parodontoz və resesiya ən müasir və səmərəli metodikalar ilə müalicə olunur. Gingivoplastika, gingivektomiya, alveoplastika üsulları tədbiq olunur.


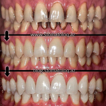
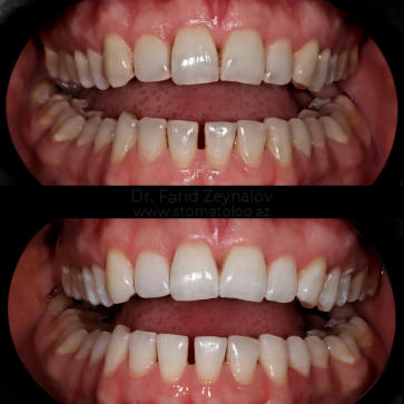
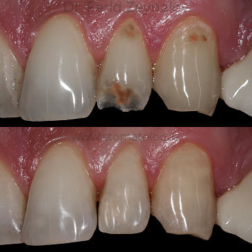
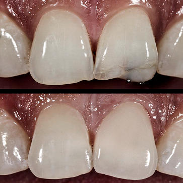
Dişləırin pulpit, periodontit və sair problemlərinin ən müasir üsullar ilə müalicəsində ən keyfiyyətli materiallardan istifadə olunur.



Beynəlxalq DDPH/DGDP statuslu ali təhsil diplomu və BDS, DMD və DDS elmi dərəcələri Türkiyyə və Azərbaycan Təhsil və Səhiyyə Nazirlikləri tərəfindən rəsmi şəhadətnamələrlə təsdiqlənmişdir.

16 beynəlxalq stomatolojı elmi cəmiyyətin üzvü, 120-dən çox konqres, seminar və kurs iştirakçısı, 90-dan çox diplom və sertifikat sahibi, ali dərəcəli həkim-stomatoloq.

FDI və ADA standartlarına uyğun Class-B sterilizasiya proqramının tətbiq olunması və xüsusi «anti-şok» dərman paketi istifadə olunması pasiyentlərin təhlükəsizliyini təmin edir.























